
お知らせ information
症例紹介
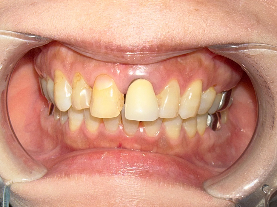
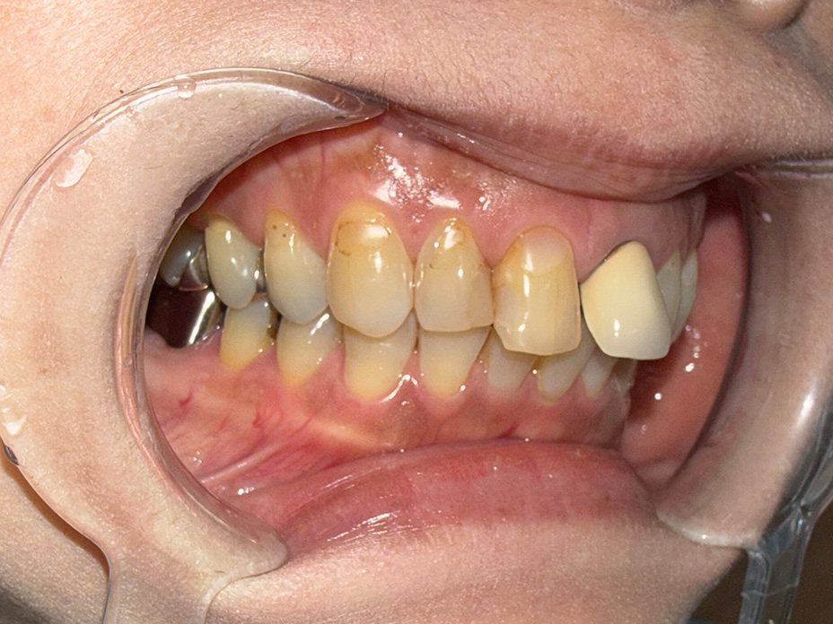
審美治療sample16


↑Before↑


↑After↑
患者様の年齢:40代女性
お悩み:前歯が突出してきたのが気になる。
ホワイトニングも考えているが白く綺麗になりたい。
治療内容:虫歯の再発部位も多数あり、前歯の正中離開や傾斜も大きいため、ダイヤモンドセラミックにて治療。
審美性とバランスを考慮してシンメトリーに6本を施術
治療のメリット:気になっていた前歯のお悩みは解決。
色、形はご自分の顔に合った感じになった満足感。
短期間にて治療が完了。
治療のデメリット:歯を削る量が多い。
治療期間:3回
料金:858,000円(税込)